See below for 2012-2013 teaching timetable.If any of the specific links/documents fail to work click here or here
Evidence
All documents/articles have been obtained/purchased via the membership/subscription to professional organisations and publishers. They are for educational purposes only and copyright is held by the respective publishers.
Date
|
Cons
|
Reg
|
Topic
|
| 02/11/2012 |
NH |
MG |
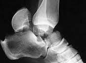
Talar Neck

|
| 09/11/2012 |
LT |
MS |
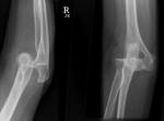
Elbow fracture/dislocations

|
| 16/11/2012 |
DMR |
DY |
Proximal Humerus

|
| 23/11/2012 |
LL |
DM |
Open Fractures (Tibial)

|
| 30/11/2012 |
SB |
SP |
Femoral Neck Fractures

|
| 07/12/2012 |
CH |
KG |
Paediatric Elbow
|
| 14/12/2012 |
MP |
WK |
External Fixation
|
| 21/12/2012 |
MC/SK |
SY |
Upper Cervical Spine
|
| 28/12/2012 |
AS |
VV |
Non-Accidental Injury
|
| 04/01/2013 |
SC |
DY |
Trauma Physiology
|
| 11/01/2013 |
NH |
AC |
Pelvic Ring Injury
(Initial Management)
|
| 18/01/2013 |
LT |
RF |
Thoracolumbar Spinal
(re-scheduled to 15Feb 2013)
|
| 25/01/2013 |
DMR |
MG |
Biology of Bone Repair
|
| 01/02/2013 |
SB |
MS |
Hindfoot Ligament/Tendon Injuries
|
| 08/02/2013 |
MP |
EL |
Tibial Plateau Fractures
|
| 15/02/2013 |
CH |
RF |
Thoracolumbar Spinal
|
| 22/02/2013 |
LL |
KJ |
Carpal Injuries
|
| 01/03/2013 |
MC & IMcF |
KG |
Bone grafting
|
| 08/03/2013 |
AS |
WK |
Physeal Injuries
|
| 15/03/2013 |
SC |
SY |
Fragility Fractures
|
| 22/03/2013 |
NH |
AC |
Initial Trauma Management
|
| 29/03/2013 |
LT |
EL |
Bank Holiday
|
| 05/04/2013 |
DMR & BR |
VV & EL |
Journal Club & Research Update
|